niềng răng không hóp má
  • bọc răng sứ thẩm mỹ - Nha khoa An Trí

Khắc phục nhanh chóng

✔️ Răng ố vàng, nhiễm màu lâu năm

✔️ Răng thưa, lệch nhẹ

✔️ Răng mẻ, vỡ

✔️ Răng hình thể xấu

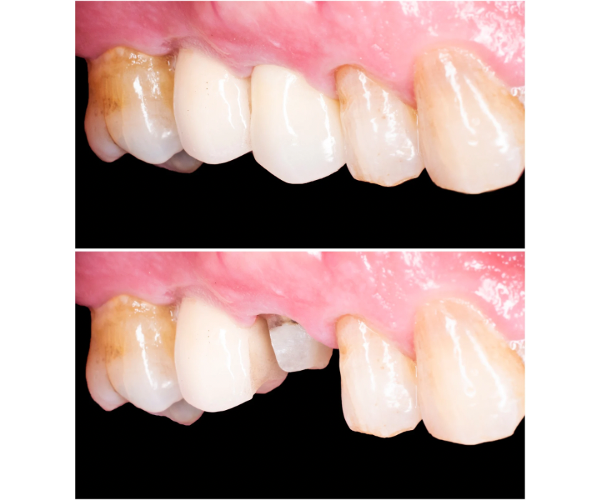
Hành trình thay đổi nụ cười

  • Hình: Hành trình thay đổi nụ cười 1
  • Hình: Hành trình thay đổi nụ cười 2
  • Hình: Hành trình thay đổi nụ cười 3
  • Hình: Hành trình thay đổi nụ cười 4
Hình: Thay đổi diện mạo với công nghệ sứ
!

Khi nào nên bọc răng sứ

  • Răng ố vàng nặng không thể tẩy trắng
  • Răng thưa hoặc không đều
  • Răng mẻ, vỡ
  • Răng sau điều trị tủy
  • Muốn cải thiện thẩm mỹ nụ cười
Răng sứ zirconia (Đức)

Răng sứ zirconia (Đức)

Độ cứng cao

Màu sắc trắng tự nhiên

Không kim loại

Không đen viền nướu

Độ bền lâu dài

Răng sứ cercon (Đức)

Răng sứ cercon (Đức)

Độ chịu lực rất cao

Độ trong tự nhiên như răng thật

Tính thẩm mỹ vượt trội

Độ bền có thể lên đến 15 – 20 năm

Mặt dán sứ Veneer Emax

Mặt dán sứ Veneer Emax

Siêu mỏng chỉ 0,3-0,6 mm

Hạn chế xâm lấn mô răng

Độ chính xác cao nhờ thiết kế kỹ thuật số

Thẩm mỹ tự nhiên như răng thật

Bọc 16 răng sứ Cercon Đức

Bọc 16 răng sứ Cercon Đức

Độ chịu lực rất cao

Độ trong tự nhiên như răng thật

Tính thẩm mỹ vượt trội

Độ bền có thể lên đến 15 – 20 năm

Bọc sứ Zirconia 2 răng cửa

Bọc sứ Zirconia 2 răng cửa

Độ cứng cao

Màu sắc trắng tự nhiên

Không kim loại

Không đen viền nướu

Độ bền lâu dài

Dán sứ Veneer Emax CAD/CAM 6 răng

Dán sứ Veneer Emax CAD/CAM 6 răng

Độ chịu lực rất cao

Độ trong tự nhiên như răng thật

Tính thẩm mỹ vượt trội

Độ bền có thể lên đến 15 – 20 năm

Nụ cười chuẩn tỷ lệ vàng
nhờ ứng dụng công nghệ kỹ thuật số

Hệ thống chụp phim CT Conebeam 3D

Hệ thống chụp phim CT Conebeam 3D

Phân tích chính xác cấu trúc răng

Đánh giá khớp cắn toàn hàm

Kiểm tra tình trạng chân răng

Lập kế hoạch phục hình chuẩn xác

Răng sứ cercon (Đức)

Công nghệ chế tạo răng sứ tự động CAD/CAM

Độ chính xác cao

Mão răng khít sát

Thẩm mỹ tự nhiên

Độ bền lâu dài

Hình: quy trình bọc răng sứ chuẩn y khoa
Bác sĩ An Trí sẽ gọi lại tư vấn ngay

Bác sĩ An Trí sẽ gọi lại tư vấn ngay

TƯ VẤN MIỄN PHÍ CÙNG CHUYÊN GIA

BÁC SĨ SẼ LIÊN HỆ NGAY TỚI BẠN

    Hotline: 0822 698 698 Chat với nha khoa An Trí trên app Zalo
    Gọi ngay Đặt hẹn
    CHAT NGAY
    Chi Nhánh Ưu đãi