Cảnh báo nguy hiểm: Răng khôn mọc kẹt gây u nang răng - Nha Khoa An Trí
Răng khôn mọc kẹt không chỉ gây đau mà còn tiềm ẩn nguy cơ hình thành u nang răng, phá hủy xương hàm. Bài viết cảnh báo và hướng dẫn phòng ngừa, điều trị an toàn tại Nha khoa An Trí.

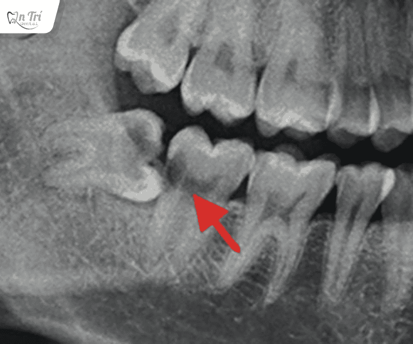
Trong số các biến chứng nguy hiểm của răng khôn, có lẽ ít người biết đến một kẻ thù thầm lặng và nguy hiểm: u nang răng khôn. Phần lớn chúng ta chỉ lo lắng về những cơn đau nhức, viêm sưng hay sâu răng. Tuy nhiên, khi một chiếc răng khôn mọc kẹt hoặc mọc ngầm, nó không chỉ đơn thuần là gây đau, mà còn có thể âm thầm hình thành u nang, một biến chứng có thể phá hủy xương hàm và gây ra hậu quả khôn lường. Hiểu đúng về nguy cơ này là bước đầu tiên để bảo vệ sức khỏe răng miệng của bạn.
Nội dung bài viết
Mối liên hệ giữa răng khôn mọc kẹt và u nang răng
U nang răng, hay còn gọi là nang thân răng, là một u lành tính phát triển từ mầm răng khôn bị kẹt hoặc ngầm hoàn toàn dưới xương hàm. Về bản chất, đây là một túi chứa dịch lỏng, bao quanh một phần hoặc toàn bộ thân răng khôn.
Cơ chế hình thành u nang rất đơn giản nhưng lại vô cùng nguy hiểm:
- Khi răng khôn không thể mọc lên được do thiếu không gian, nó sẽ nằm lại dưới nướu và xương hàm.
- Các tế bào biểu mô xung quanh mầm răng này, đáng lẽ phải bị tiêu biến, lại tiếp tục phát triển và tạo thành một túi chứa dịch.
- Túi dịch này sẽ lớn dần lên theo thời gian, chèn ép lên xương hàm và các cấu trúc xung quanh, bao gồm cả chân răng của răng số 7 và dây thần kinh.
U nang răng khôn thường không có triệu chứng rõ ràng ở giai đoạn đầu. Hầu hết các trường hợp chỉ được phát hiện tình cờ qua phim X-quang khi bệnh nhân đi khám nha khoa định kỳ. Đến khi u nang phát triển lớn, nó có thể gây ra những triệu chứng như sưng to vùng má, lệch mặt, hoặc đau nhức âm ỉ.
Hậu quả khôn lường của u nang răng khôn
Nếu không được phát hiện và điều trị kịp thời, u nang răng khôn có thể gây ra những hậu quả nghiêm trọng:
- Phá hủy xương hàm: U nang lớn dần sẽ tiêu hủy dần mô xương hàm. Xương hàm bị phá hủy có thể trở nên yếu đi, dễ gãy khi có tác động mạnh. Đây là một biến chứng cực kỳ nguy hiểm và có thể gây biến dạng khuôn mặt nếu không được xử lý.
- Gây dịch chuyển răng: Áp lực từ u nang có thể đẩy các răng lân cận, làm xô lệch toàn bộ cung răng. Điều này không chỉ ảnh hưởng đến thẩm mỹ mà còn gây ra tình trạng khớp cắn không chuẩn, ảnh hưởng đến chức năng ăn nhai.
- Tổn thương dây thần kinh: Khi u nang phát triển gần ống dây thần kinh hàm dưới, nó có thể chèn ép và gây tổn thương dây thần kinh, dẫn đến tê bì môi, má và cằm vĩnh viễn.
- Nguy cơ tái phát cao: Nếu không được điều trị triệt để, u nang răng khôn có thể tái phát sau một thời gian, gây ra những biến chứng tương tự.
- Nguy cơ biến thành u ác tính (ung thư): Mặc dù hiếm gặp, nhưng trong một số trường hợp, u nang có thể thoái hóa và biến thành các khối u ác tính, đe dọa trực tiếp đến tính mạng.
Dấu hiệu nhận biết và tầm quan trọng của việc khám nha khoa định kỳ
Các tình trạng răng khôn mọc
U nang răng khôn là kẻ thù thầm lặng, không có triệu chứng rõ ràng ở giai đoạn đầu. Tuy nhiên, bạn cần cảnh giác nếu có các dấu hiệu sau:
- Sưng hoặc đau âm ỉ ở vùng hàm dưới mà không rõ nguyên nhân.
- Đau khi nhai hoặc cảm giác răng bị lung lay.
- Mặt bị biến dạng nhẹ (phù nề, sưng một bên) khi u nang đã phát triển lớn.
- Đau đầu hoặc đau tai không rõ nguyên nhân.
Điều quan trọng nhất là bạn không thể tự mình chẩn đoán được u nang. Cách duy nhất để phát hiện sớm là thông qua việc khám nha khoa định kỳ và chụp phim X-quang. Bác sĩ sẽ dễ dàng nhận thấy hình ảnh u nang bất thường trên phim và có biện pháp xử lý kịp thời.
Giải pháp điều trị triệt để và an toàn
Khi u nang răng khôn được chẩn đoán, bác sĩ sẽ tiến hành phẫu thuật để loại bỏ cả u nang và chiếc răng khôn bị kẹt. Việc này thường đòi hỏi kỹ thuật phức tạp hơn so với nhổ răng khôn thông thường.
Tại Nha khoa An Trí, chúng tôi áp dụng quy trình điều trị toàn diện và an toàn:
- Chẩn đoán chính xác với công nghệ CT ConeBeam 3D
Đây là bước bắt buộc. Phim CT ConeBeam 3D cho phép bác sĩ xem hình ảnh 3 chiều của toàn bộ xương hàm, đánh giá chính xác kích thước, vị trí và mối liên hệ của u nang với các cấu trúc lân cận như dây thần kinh và chân răng khác. Dựa trên hình ảnh này, bác sĩ sẽ lập kế hoạch phẫu thuật chi tiết, đảm bảo loại bỏ u nang và răng khôn một cách an toàn nhất.
- Phẫu thuật loại bỏ u nang và răng khôn
Quy trình phẫu thuật được thực hiện bởi đội ngũ bác sĩ chuyên sâu, giàu kinh nghiệm. Mặc dù là một ca phức tạp, nhưng với sự hỗ trợ của công nghệ Piezotome (sóng siêu âm), bác sĩ có thể thực hiện phẫu thuật một cách nhẹ nhàng, ít xâm lấn, giảm thiểu tổn thương mô mềm và xương. Công nghệ này giúp quá trình nhổ răng khôn diễn ra nhanh chóng, ít chảy máu và giảm sưng đau sau phẫu thuật.
- Chăm sóc hậu phẫu chu đáo
Sau phẫu thuật, bạn sẽ được hướng dẫn chi tiết về cách chăm sóc vết thương, uống thuốc đúng liều lượng và có lịch tái khám chặt chẽ. Việc này giúp đảm bảo quá trình hồi phục diễn ra nhanh chóng, không có biến chứng và u nang không tái phát.
Lời khuyên của chuyên gia
Đừng bao giờ chủ quan với những chiếc răng khôn mọc kẹt hoặc mọc ngầm, ngay cả khi chúng chưa gây ra cơn đau nào. Răng khôn có thể là một “quả bom hẹn giờ” trong miệng bạn, và u nang là một trong những biến chứng nguy hiểm nhất.
U nang răng khôn do biến chứng mọc kẹt
Điều quan trọng nhất là bạn cần thăm khám nha khoa định kỳ 6 tháng một lần. Việc chụp X-quang toàn hàm sẽ giúp bác sĩ phát hiện sớm bất kỳ bất thường nào, đặc biệt là sự tồn tại của u nang, để có biện pháp can thiệp kịp thời.
Bạn có đang cảm thấy lo lắng về chiếc răng khôn mọc ngầm của mình? Đừng chần chừ! Hãy liên hệ ngay với Nha khoa An Trí để được thăm khám chuyên sâu và chụp phim 3D miễn phí. Chúng tôi sẽ giúp bạn loại bỏ mọi rủi ro về u nang răng khôn một cách an toàn và triệt để nhất. Hotline tư vấn và đặt lịch: 0822 698 698.
-
NHA KHOA UY TÍN TẠI HCM
-
305/20 Lê Văn Sỹ, P.1, Q.Tân Bình, HCM
-
Hotline: 0822 698 698
-
T2 - T7 09:00 - 18:30 / CN 09:00 - 12:00
-
Email: nhakhoaantri@gmail.com
-
Website: https://nhakhoaantri.com/



