Cắt lợi bằng laser giá bao nhiêu?
Cắt lợi bằng laser là phương pháp thẩm mỹ hiện đại giúp điều trị cười hở lợi. Bài viết này sẽ giải đáp chi phí, quy trình thực hiện và hướng dẫn chăm sóc sau phẫu thuật tại Nha khoa An Trí, giúp bạn có được nụ cười hoàn hảo.
Cười hở lợi là một trong những khuyết điểm phổ biến nhất, khiến nhiều người cảm thấy thiếu tự tin khi giao tiếp, thậm chí ảnh hưởng đến cả công việc và các mối quan hệ xã hội. Trong số các giải pháp thẩm mỹ nha khoa hiện nay, cắt lợi bằng laser nổi lên như một phương pháp hiện đại, an toàn và hiệu quả, được nhiều người tin tưởng lựa chọn. Tuy nhiên, trước khi quyết định, câu hỏi mà ai cũng quan tâm là cắt lợi bằng laser giá bao nhiêu và quy trình thực hiện như thế nào để đảm bảo kết quả tốt nhất.
Nội dung bài viết
Thẩm mỹ cắt lợi là gì?
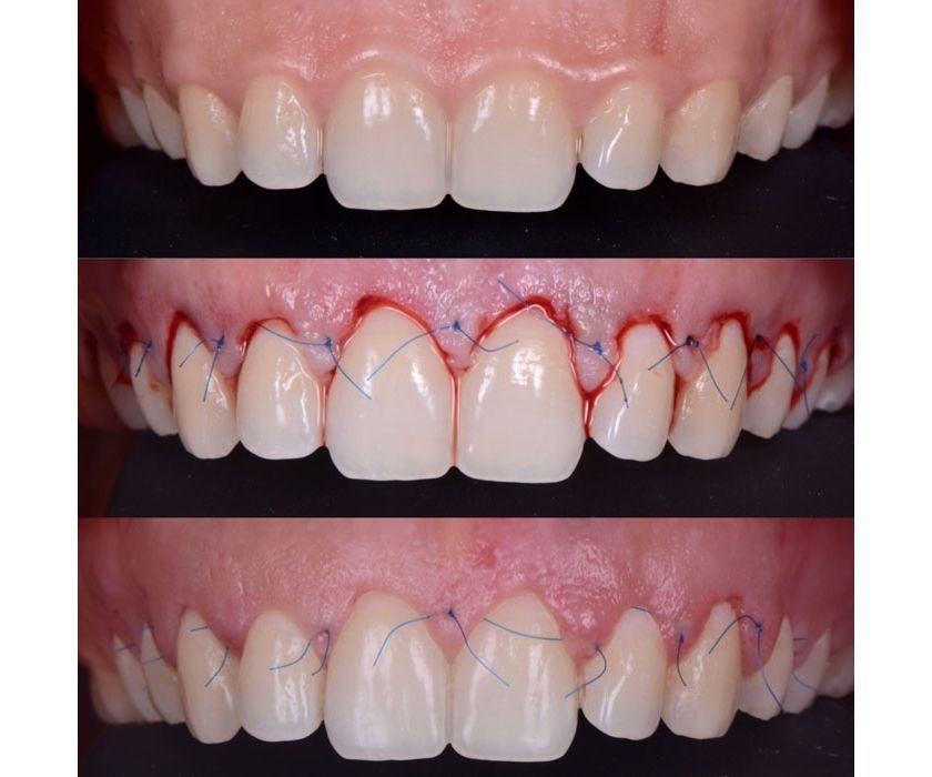
Thẩm mỹ cắt lợi hay còn gọi là phẫu thuật tạo hình nướu, là một thủ thuật nha khoa nhằm loại bỏ phần nướu thừa, làm lộ thân răng, từ đó giúp khắc phục tình trạng cười hở lợi. Mục tiêu của phương pháp này là điều chỉnh lại đường viền lợi sao cho hài hòa, cân đối với khuôn mặt và các răng.
Trước đây, việc cắt lợi thường sử dụng dao mổ truyền thống, nhưng với sự tiến bộ của công nghệ, cắt lợi bằng laser đã thay thế hoàn toàn phương pháp cũ. Công nghệ laser mang lại nhiều ưu điểm vượt trội: phẫu thuật nhanh gọn, ít chảy máu, giảm sưng đau, và quá trình hồi phục diễn ra nhanh chóng hơn. Toàn bộ thủ thuật chỉ diễn ra trong khoảng 30 đến 60 phút, giúp bệnh nhân cảm thấy thoải mái và an tâm hơn rất nhiều.
Cắt lợi bằng laser giá bao nhiêu?
Chi phí cắt lợi bằng laser là một trong những yếu tố quan trọng nhất mà bệnh nhân quan tâm. Mức giá này không cố định mà tùy thuộc vào nhiều yếu tố:
- Tình trạng nướu của bệnh nhân: Chi phí sẽ cao hơn nếu bạn bị hở lợi nghiêm trọng, cần phải kết hợp tạo hình xương ổ răng để đạt được kết quả thẩm mỹ tối ưu và vĩnh viễn.
- Công nghệ sử dụng: Phương pháp cắt bằng laser hiện đại thường có chi phí cao hơn một chút so với cắt truyền thống, nhưng hiệu quả và độ an toàn cũng vượt trội hơn hẳn.
- Chất lượng của nha khoa: Mỗi nha khoa sẽ có bảng giá khác nhau tùy thuộc vào tay nghề bác sĩ, trang thiết bị và dịch vụ đi kèm. Một nha khoa uy tín với đội ngũ chuyên gia giàu kinh nghiệm và công nghệ tiên tiến sẽ đảm bảo an toàn và kết quả thẩm mỹ hoàn hảo.
Tại Nha khoa An Trí, chi phí cắt lợi bằng laser được xây dựng dựa trên sự minh bạch và chất lượng dịch vụ cao nhất, bao gồm toàn bộ quá trình từ thăm khám, chụp X-quang, phẫu thuật, đến theo dõi và tái khám. Bác sĩ sẽ tư vấn chi tiết và lập kế hoạch điều trị cụ thể sau khi thăm khám trực tiếp để bạn có thể nắm rõ toàn bộ chi phí.
Cắt lợi thẩm mỹ bao lâu thì khỏi?
Cắt lợi là một tiểu phẫu nhẹ nhàng, và thời gian hồi phục cũng rất nhanh chóng.
- Trong 2 ngày đầu: Bạn có thể cảm thấy hơi ê buốt và khó chịu nhẹ, đặc biệt khi ăn uống. Cảm giác này là hoàn toàn bình thường và có thể kiểm soát bằng thuốc giảm đau do bác sĩ kê đơn.
- Ngày thứ 3 đến 5: Phần nướu sẽ bắt đầu se lại và khô hơn. Các chỉ khâu sẽ hiện rõ hơn, cho thấy quá trình lành thương đang diễn ra tốt.
- Sau 7-10 ngày: Phần nướu sẽ hồi phục khoảng 70-80%. Lúc này, bạn có thể ăn uống gần như bình thường, nhưng vẫn nên tránh những thức ăn quá cứng hoặc dai.
Điều quan trọng là bạn cần tuân thủ lịch tái khám của bác sĩ để đảm bảo nướu đã hồi phục hoàn toàn và kết quả thẩm mỹ được duy trì tốt nhất.
Chăm sóc răng miệng sau khi phẫu thuật cắt lợi
Cắt lợi giúp thân răng dài và thẩm mỹ hơn
Để quá trình hồi phục diễn ra nhanh chóng và không có biến chứng, việc chăm sóc răng miệng sau phẫu thuật đóng vai trò vô cùng quan trọng.
- Kiểm soát chảy máu: Sau phẫu thuật, bạn sẽ được hướng dẫn cắn gạc để cầm máu. Ban đầu có thể có rỉ máu nhẹ trong 12-24 giờ, điều này là bình thường. Nếu máu chảy nhiều và không ngừng, bạn cần liên hệ ngay với nha khoa.
- Chế độ ăn uống: Trong 1-2 tuần đầu tiên, bạn nên ăn các thức ăn mềm, lỏng và dễ nuốt như cháo, súp, sinh tố. Tránh hoàn toàn thức ăn cay, nóng, quá cứng hoặc dai để không gây tổn thương đến vết khâu. Sau 2 tuần, bạn có thể trở lại chế độ ăn bình thường.
- Vệ sinh răng miệng: Vệ sinh răng miệng cẩn thận là yếu tố quyết định sự thành công. Trong tuần đầu tiên, bạn nên súc miệng bằng nước sát khuẩn chuyên dụng và dùng tăm bông thấm nước muối sinh lý để vệ sinh nhẹ nhàng phần nướu, tránh chải răng trực tiếp vào khu vực phẫu thuật. Sau khi cắt chỉ, bạn có thể chải răng nhẹ nhàng bằng bàn chải lông mềm và tiếp tục duy trì thói quen vệ sinh khoa học.
- Kiểm soát sưng đau: Sau khi phẫu thuật, có thể xuất hiện tình trạng sưng nhẹ. Bạn nên chườm đá lạnh ngoài má trong ngày đầu tiên và uống thuốc chống viêm theo chỉ định của bác sĩ để giảm sưng và cảm giác khó chịu.
Tại sao nên chọn Nha khoa An Trí để cắt lợi bằng laser?
Hiện nay, có rất nhiều phòng khám nha khoa thực hiện cắt lợi, nhưng không phải trung tâm nào cũng có chất lượng đảm bảo. Tại Nha khoa An Trí, chúng tôi cam kết mang đến dịch vụ tốt nhất với những ưu điểm nổi bật:
- Đội ngũ bác sĩ chuyên môn cao: Các bác sĩ tại Nha khoa An Trí được đào tạo bài bản và có nhiều năm kinh nghiệm trong lĩnh vực nha khoa thẩm mỹ, đặc biệt là phẫu thuật tạo hình nướu.
- Công nghệ hiện đại: Chúng tôi sử dụng công nghệ laser tiên tiến nhất, giúp phẫu thuật chính xác, không đau, ít chảy máu và giảm thiểu rủi ro.
- Quy trình chuẩn y khoa: Toàn bộ quá trình từ thăm khám, tư vấn, phẫu thuật đến chăm sóc hậu phẫu đều tuân thủ các quy định nghiêm ngặt của Bộ Y tế, đảm bảo an toàn tuyệt đối cho bệnh nhân.
- Tư vấn tận tâm: Bác sĩ sẽ tư vấn chi tiết, giải đáp mọi thắc mắc và đồng hành cùng bạn trên hành trình sở hữu nụ cười hoàn hảo.
Cắt lợi bằng laser không ảnh hưởng sức khoẻ
Cắt lợi bằng laser là một giải pháp hiệu quả và an toàn để bạn khắc phục tình trạng cười hở lợi, tìm lại sự tự tin. Hy vọng những thông tin trên đã giúp bạn có cái nhìn rõ hơn về chi phí và quy trình.
Nếu bạn đang tìm kiếm một địa chỉ uy tín để cải thiện nụ cười của mình, hãy liên hệ với Nha khoa An Trí để được thăm khám và tư vấn miễn phí!
-
NHA KHOA UY TÍN TẠI HCM
-
305/20 Lê Văn Sỹ, P.1, Q.Tân Bình, HCM
-
Hotline: 0822 698 698
-
T2 - T7 09:00 - 18:30 / CN 09:00 - 12:00
-
Email: nhakhoaantri@gmail.com
-
Website: https://nhakhoaantri.com/



