Những điều cần biết về cạo vôi răng
Có thể nói, cạo vôi răng là phương pháp đơn giản, tiết kiệm nhưng lại vô cùng hiệu quả trong việc ngăn ngừa các bệnh lý răng miệng. Tuy nhiên, nhiều người vẫn chưa hiểu đúng vai trò của cạo vôi răng nên vẫn thường lơ là bỏ qua. Bài viết dưới đây sẽ giúp bạn hiểu rõ những điều cần biết về cạo vôi răng để bảo vệ sức khỏe răng miệng một cách toàn diện.
Nội dung bài viết
Vôi răng là gì?
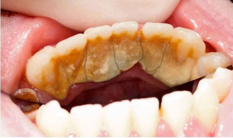
Vôi răng (hay còn gọi là cao răng) là lớp mảng bám hình thành từ cặn thức ăn, vi khuẩn và khoáng chất có trong nước bọt, bị vôi hoá và tích tụ trên răng và bên dưới kẽ nướu. Vôi răng có thể có màu vàng, nâu hoặc đen tùy theo chế độ ăn uống và thói quen sinh hoạt như hút thuốc lá, uống cà phê, trà… Mặc dù nhìn qua có vẻ vô hại, nhưng vôi răng lại là “thủ phạm thầm lặng” gây ra nhiều vấn đề nghiêm trọng cho răng miệng:
-
Gây viêm nướu, viêm nha chu
Vôi răng là nơi cư trú lý tưởng của vi khuẩn. Những vi khuẩn này sẽ tấn công vào nướu, gây viêm đỏ, sưng tấy, chảy máu chân răng. Đây là những biểu hiện thường gặp của viêm nướu. Nếu không điều trị kịp thời, viêm nướu có thể tiến triển thành viêm nha chu – một bệnh lý phức tạp hơn, khiến răng bị lung lay và mất răng.
-
Hôi miệng
Vi khuẩn trong vôi răng phân hủy thức ăn thừa, tạo ra mùi hôi khó chịu trong khoang miệng. Hôi miệng kéo dài ảnh hưởng nghiêm trọng đến sự tự tin và giao tiếp hàng ngày.
-
Làm ố vàng răng, mất thẩm mỹ
Vôi răng tích tụ làm răng trở nên xỉn màu, ố vàng. Từ đó nụ cười trở nên kém duyên.
-
Gây tụt nướu, lộ chân răng
Vôi răng tích tụ dưới nướu làm phá vỡ cấu trúc mô nướu và nha chu, khiến nướu bị tụt và lộ chân răng. Đây là nguyên nhân hàng đầu khiến răng bị ê buốt, chảy máu và tăng nguy cơ sâu chân răng.

Lợi ích khi cạo vôi răng
Đánh răng có thể loại bỏ được vôi răng? Suy nghĩ này hoàn toàn không chính xác. Vôi răng có độ cứng cao nên rất khó làm sạch bằng bàn chải và các dụng cụ vệ sinh răng miệng hàng ngày. Cạo vôi răng là biện pháp duy nhất giúp loại bỏ hoàn toàn vôi răng, từ đó phòng ngừa và điều trị hiệu quả các vấn đề nêu trên. Dưới đây là những lợi ích khi thực hiện cạo vôi răng định kỳ:
-
Ngăn ngừa bệnh lý răng miệng
Cạo vôi răng giúp làm sạch vi khuẩn, giảm nguy cơ viêm nướu, viêm nha chu, sâu răng, từ đó nâng cao sức khoẻ răng miệng.
-
Hạn chế hôi miệng
Sau khi cạo vôi răng, mảng bám và vi khuẩn đã được loại bỏ, hơi thở sẽ trở nên dễ chịu hơn.
-
Cải thiện màu răng
Vôi răng bám nhiều sẽ làm đổi màu răng. Việc duy trì cạo vôi răng định kỳ sẽ giúp bề mặt răng trắng sáng hơn, cải thiện đáng kể thẩm mỹ nụ cười.
-
Hỗ trợ bác sĩ phát hiện các vấn đề răng miệng
Khi lớp vôi răng được loại bỏ, bác sĩ có thể dễ dàng kiểm tra và phát hiện các vấn đề tiềm ẩn như sâu răng, viêm tủy, răng lung lay… từ đó đưa ra giải pháp điều trị kịp thời và hiệu quả, tránh những nguy cơ như mất răng, chết tuỷ, áp-xe răng…

Bao lâu nên cạo vôi răng một lần?
Theo khuyến cáo của các nha sĩ, bạn nên cạo vôi răng định kỳ 6 tháng/lần. Tuy nhiên, với những người có cơ địa dễ tích tụ vôi răng (ví dụ như người hút thuốc, uống nhiều cà phê, vệ sinh răng miệng chưa tốt), tần suất nên là 3–4 tháng/lần.
Công nghệ cạo vôi răng không đau tại An Trí
Với công nghệ hiện đại ngày nay, cạo vôi răng được thực hiện bằng máy siêu âm, giúp loại bỏ vôi răng nhanh chóng, không đau và không tổn hại đến răng và các cấu trúc xung quanh.
Máy cạo vôi siêu âm hoạt động dựa trên dao động tần số cao (khoảng 25.000–40.000 Hz), giúp tách và làm bong các mảng vôi bám mà không làm tổn thương men răng. Đầu máy siêu âm kết hợp tia nước phun liên tục để làm mát, rửa trôi mảnh vụn vôi và vi khuẩn. Bác sĩ sẽ di chuyển đầu máy nhẹ nhàng dọc theo thân răng, nướu, các kẽ răng và mặt trong để làm sạch toàn bộ vôi răng. Sau khi làm sạch vôi răng, Bác sĩ sẽ tiến hành đánh bóng răng để bề mặt răng sáng bóng hơn, hạn chế bám vôi trở lại.

Cạo vôi răng tuy là một thủ thuật đơn giản nhưng lại đóng vai trò vô cùng quan trọng trong việc bảo vệ sức khỏe răng miệng. Đừng quên đến An Trí để được tư vấn và thực hiện cạo vôi răng an toàn, không đau bằng công nghệ siêu âm nhé!
-
NHA KHOA UY TÍN TẠI HCM
-
305/20 Lê Văn Sỹ, P.1, Q.Tân Bình, HCM
-
Hotline: 0822 698 698
-
T2 - T7 09:00 - 18:30 / CN 09:00 - 12:00
-
Email: nhakhoaantri@gmail.com
-
Website: https://nhakhoaantri.com/



