Trám răng thẩm mỹ: Giải pháp phục hồi răng sâu, mẻ hiệu quả
Trám răng thẩm mỹ là phương pháp phục hồi răng sâu, mẻ, vỡ hiệu quả, mang lại vẻ đẹp tự nhiên và chức năng ăn nhai hoàn hảo.

Nội dung bài viết
Trám răng thẩm mỹ là gì?
Sâu răng, sứt mẻ răng là những vấn đề phổ biến, không chỉ gây mất thẩm mỹ mà còn ảnh hưởng trực tiếp đến chức năng ăn nhai và sức khỏe răng miệng. Trám răng, hay hàn răng, từ lâu đã là một giải pháp cơ bản để khắc phục các khuyết điểm này. Tuy nhiên, với sự phát triển của công nghệ, trám răng thẩm mỹ đã ra đời, không chỉ phục hồi mà còn tái tạo vẻ đẹp tự nhiên của răng, giúp bạn tự tin nở nụ cười mà không lo bị lộ miếng trám.
Trám răng thẩm mỹ là kỹ thuật nha khoa sử dụng vật liệu trám có màu sắc tương tự với màu răng thật để lấp đầy các khoảng trống do sâu răng, sứt mẻ, hoặc mòn men. Mục đích chính của phương pháp này là khôi phục hình dáng ban đầu của răng, bảo vệ tủy răng khỏi vi khuẩn và trả lại chức năng ăn nhai bình thường.
Vật liệu trám thẩm mỹ phổ biến nhất hiện nay là Composite. Composite là một loại nhựa tổng hợp, có thể được chế tác với nhiều màu sắc khác nhau để phù hợp với màu răng của mỗi người. Nhờ đó, miếng trám sẽ hòa hợp hoàn toàn với răng thật, khó có thể nhận ra bằng mắt thường.
Các trường hợp nên trám răng thẩm mỹ
Trám răng thẩm mỹ là giải pháp lý tưởng cho nhiều vấn đề răng miệng, bao gồm:
- Sâu răng: Khi răng bị sâu ở mức độ nhẹ và trung bình, trám răng sẽ loại bỏ mô sâu và lấp đầy lỗ hổng, ngăn ngừa vi khuẩn tiếp tục tấn công vào tủy răng.
- Răng sứt mẻ, vỡ: Các trường hợp răng bị sứt mẻ nhỏ do va chạm hoặc nhai vật cứng, trám răng giúp phục hình lại hình dáng răng, bảo vệ răng thật khỏi bị tổn thương nặng hơn.
- Mòn cổ chân răng: Tình trạng mòn men răng ở vị trí sát nướu có thể gây ê buốt, khó chịu. Trám răng sẽ lấp đầy phần men răng bị mòn, giảm ê buốt và ngăn ngừa sâu răng.
- Răng thưa kẽ nhỏ: Đối với các kẽ hở nhỏ giữa các răng cửa, trám răng thẩm mỹ có thể được sử dụng để đóng kẽ hở, cải thiện thẩm mỹ nhanh chóng.
Ưu điểm vượt trội của trám răng thẩm mỹ
Trám răng thẩm mỹ với vật liệu Composite mang lại nhiều lợi ích đáng kể so với các vật liệu trám truyền thống.
- Tính thẩm mỹ cao: Đây là ưu điểm nổi bật nhất. Miếng trám có màu sắc giống hệt răng thật, không bị lộ khi cười nói. Bác sĩ có thể tạo hình miếng trám một cách tinh xảo, tái tạo lại cấu trúc răng ban đầu.
- Bảo tồn mô răng thật: Trám răng chỉ loại bỏ phần mô răng bị tổn thương, không xâm lấn đến các mô răng khỏe mạnh khác. Điều này giúp răng được bảo tồn tối đa, không cần phải mài nhỏ như khi bọc răng sứ.
- Hiệu quả nhanh chóng: Quy trình trám răng thường chỉ diễn ra trong một lần hẹn, khoảng 15-30 phút tùy thuộc vào mức độ tổn thương của răng. Bạn có thể thấy sự thay đổi ngay lập tức.
- Chi phí hợp lý: So với các phương pháp phục hình khác như bọc sứ hay dán Veneer, trám răng thẩm mỹ có chi phí thấp hơn nhiều, phù hợp với ngân sách của nhiều người.
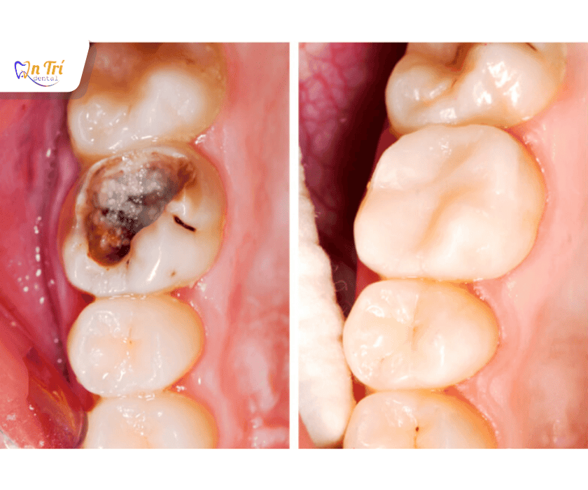
Phục hồi răng nhờ trám thẩm mỹ
Quy trình trám răng thẩm mỹ chuẩn y khoa
Tại Nha khoa An Trí, chúng tôi tuân thủ một quy trình trám răng thẩm mỹ chuẩn y khoa, đảm bảo an toàn và hiệu quả lâu dài.
- Bước 1: Thăm khám và làm sạch: Bác sĩ sẽ thăm khám tổng quát để xác định tình trạng răng sâu, mẻ. Sau đó, răng sẽ được làm sạch mảng bám và vi khuẩn.
- Bước 2: Gây tê và lấy bỏ mô răng hỏng: Để bạn không cảm thấy đau hay khó chịu, bác sĩ sẽ tiến hành gây tê cục bộ. Sau đó, phần mô răng bị sâu hoặc sứt mẻ sẽ được làm sạch hoàn toàn.
- Bước 3: Trám và tạo hình: Vật liệu Composite sẽ được đưa vào lỗ sâu hoặc vị trí răng bị mẻ. Bác sĩ sẽ tạo hình miếng trám để nó hòa hợp với hình dáng răng ban đầu.
- Bước 4: Chiếu đèn và đánh bóng: Dưới ánh sáng từ đèn chiếu chuyên dụng, miếng trám sẽ đông cứng ngay lập tức. Cuối cùng, bác sĩ sẽ đánh bóng miếng trám để tạo bề mặt mịn màng, tự nhiên và chống bám màu.
Bảo vệ miếng trám và duy trì hiệu quả lâu dài
Mặc dù miếng trám thẩm mỹ có độ bền cao, nhưng nó vẫn cần được chăm sóc đúng cách để duy trì hiệu quả lâu dài.
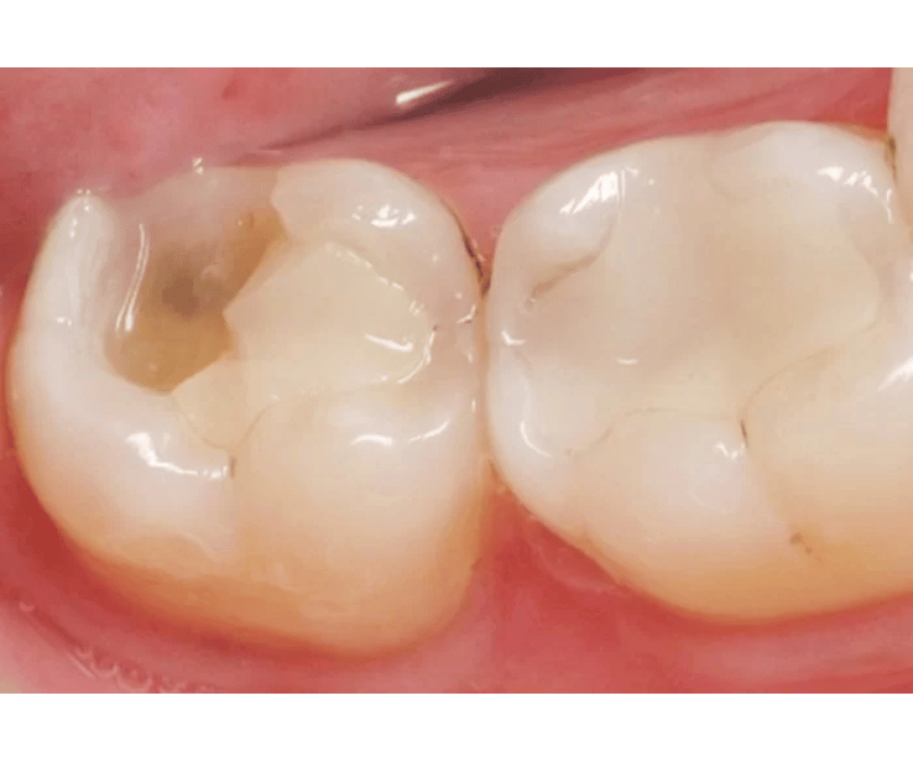
Sâu răng được điều trị bít trám bằng vật liệu composite
- Vệ sinh răng miệng đúng cách: Chải răng ít nhất hai lần mỗi ngày, sử dụng chỉ nha khoa để làm sạch các kẽ răng.
- Chế độ ăn uống: Trong 48 giờ đầu sau khi trám, nên tránh thức ăn quá cứng, dai hoặc quá nóng. Hạn chế sử dụng các thực phẩm và đồ uống có màu sẫm để không làm ố miếng trám.
- Tránh các thói quen xấu: Tránh cắn bút, cắn móng tay hoặc dùng răng để mở nắp chai, vì những thói quen này có thể làm sứt mẻ cả răng thật và miếng trám.
- Tái khám định kỳ: Khám nha khoa định kỳ 6 tháng một lần giúp bác sĩ kiểm tra tình trạng miếng trám và vệ sinh răng miệng chuyên sâu, đảm bảo sức khỏe răng miệng của bạn luôn tốt.
Trám răng thẩm mỹ không chỉ là một thủ thuật đơn giản mà còn là một nghệ thuật, đòi hỏi sự tỉ mỉ và chuyên môn cao của bác sĩ. Lựa chọn một nha khoa uy tín là yếu tố quyết định để có một miếng trám bền đẹp và an toàn.
Nếu bạn đang gặp phải các vấn đề về răng sâu, mẻ, hãy đến với Nha khoa An Trí để được thăm khám và tư vấn giải pháp trám răng thẩm mỹ phù hợp nhất.
-
NHA KHOA UY TÍN TẠI HCM
-
305/20 Lê Văn Sỹ, P.1, Q.Tân Bình, HCM
-
Hotline: 0822 698 698
-
T2 - T7 09:00 - 18:30 / CN 09:00 - 12:00
-
Email: nhakhoaantri@gmail.com
-
Website: https://nhakhoaantri.com/



