Cạo vôi răng tổng quát gồm những bước nào?
Cạo vôi răng tổng quát là quy trình chăm sóc răng miệng toàn diện, giúp làm sạch mảng bám – vôi răng, đồng thời kiểm tra tổng quát sức khỏe răng miệng để phát hiện sớm các bệnh lý tiềm ẩn. Đây là bước quan trọng giúp phòng ngừa viêm nướu, hôi miệng, sâu răng và các bệnh lý nha khoa nguy hiểm.
Tại Nha khoa An Trí, quy trình cạo vôi răng tổng quát được thực hiện bài bản, an toàn và nhẹ nhàng theo tiêu chuẩn y khoa.
Nội dung bài viết
Vì sao nên cạo vôi răng tổng quát định kỳ?
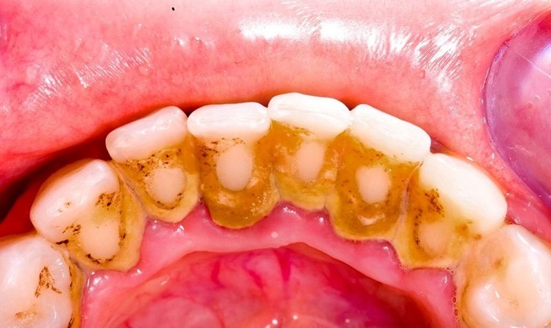
Vôi răng (cao răng) là mảng bám cứng hình thành từ thức ăn và vi khuẩn, không thể làm sạch bằng cách đánh răng thông thường. Nếu không được loại bỏ kịp thời, vôi răng có thể gây:
- Viêm nướu, chảy máu chân răng
- Hôi miệng kéo dài
- Sâu răng, viêm nha chu
- Lung lay răng, mất răng sớm
Các bác sĩ khuyến cáo nên cạo vôi răng tổng quát mỗi 3–6 tháng để bảo vệ sức khỏe răng miệng lâu dài.

Cạo vôi răng tổng quát gồm những bước nào?
Quy trình cạo vôi răng tổng quát gồm 3 bước sau:
-
Khám răng miệng tổng quát
Bác sĩ tiến hành thăm khám răng miệng, kiểm tra và đánh giá toàn bộ tình trạng răng – nướu – lưỡi – khoang miệng và tư vấn hướng điều trị phù hợp nếu có bệnh lý.
-
Chụp X-quang răng
Phim chụp X-quang giúp Bác sĩ đánh giá tình trạng chân răng và xương hàm, phát hiện bệnh lý ẩn dưới nướu mà mắt thường không thấy, lên kế hoạch điều trị chính xác (nếu cần). Đây là bước quan trọng trong cạo vôi răng tổng quát chuẩn y khoa.
-
Cạo vôi răng bằng sóng siêu âm
Bác sĩ sử dụng máy siêu âm hiện đại để làm sạch vôi răng trên và dưới nướu. Công nghệ siêu âm mang đến nhiều ưu điểm vượt trội:
- Không đau, không chảy máu nhiều
- Không làm mòn hay tổn hại men răng
- Loại bỏ mảng bám vôi răng và tiêu diệt vi khuẩn hiệu quả
Sau khi cạo vôi, răng sạch hơn, nướu khỏe mạnh và hơi thở thơm mát rõ rệt.

Vì sao nên cạo vôi răng tổng quát tại Nha Khoa An Trí?
Cạo vôi răng tổng quát không chỉ là làm sạch vôi răng mà còn là bước kiểm tra và bảo vệ sức khỏe răng miệng toàn diện.
Tại Nha khoa An Trí, dịch vụ này được nhiều khách hàng tin chọn nhờ chất lượng chuyên môn và quy trình thực hiện bài bản.
Đầu tiên, bác sĩ trực tiếp thăm khám kỹ lưỡng để đánh giá tình trạng răng, nướu và các vấn đề tiềm ẩn. Việc kết hợp khám tổng quát và chụp phim răng giúp phát hiện sớm viêm nướu, viêm nha chu, sâu răng hoặc các bệnh lý dưới nướu mà mắt thường khó nhận biết. Nhờ đó, quá trình cạo vôi răng luôn đảm bảo đúng chỉ định, an toàn và hiệu quả.
Đồng thời, Nha khoa An Trí sử dụng máy cạo vôi răng siêu âm hiện đại, giúp loại bỏ mảng bám và vôi răng nhanh chóng mà không làm tổn thương men răng. Quá trình thực hiện nhẹ nhàng, hạn chế ê buốt, phù hợp cả với những người có nướu nhạy cảm.
Bên cạnh đó, quy trình vô trùng nghiêm ngặt được áp dụng cho từng khách hàng, đảm bảo an toàn tuyệt đối và mang lại sự yên tâm trong suốt quá trình điều trị. Sau khi cạo vôi răng, khách hàng còn được tư vấn cách chăm sóc răng miệng tại nhà và lịch cạo vôi định kỳ phù hợp.

Đặc biệt, Nha khoa An Trí triển khai combo cạo vôi răng tổng quát chỉ 100.000 VNĐ, bao gồm khám – chụp phim – cạo vôi răng siêu âm, giúp khách hàng chăm sóc răng miệng toàn diện với chi phí tiết kiệm.
Đừng để vôi răng âm thầm phá hủy sức khỏe răng miệng của bạn. Liên hệ Nha khoa An Trí ngay hôm nay để trải nghiệm dịch vụ cạo vôi răng tổng quát an toàn, hiệu quả với giá chỉ 100K!
-
NHA KHOA UY TÍN TẠI HCM
-
305/20 Lê Văn Sỹ, P.1, Q.Tân Bình, HCM
-
Hotline: 0822 698 698
-
T2 - T7 8:00 - 20:00 / CN 8:00 - 12:00
-
Email: nhakhoaantri@gmail.com
-
Website: https://nhakhoaantri.com/



