Hướng dẫn chăm sóc răng miệng đúng cách cho người lớn tuổi - Nha Khoa An Trí
Hướng dẫn chăm sóc răng miệng cho người lớn tuổi tại nhà giúp ngăn ngừa sâu răng, viêm nướu, hôi miệng. Chia sẻ từ bác sĩ Nha khoa An Trí – chăm sóc nụ cười khỏe mạnh tuổi xế chiều.

Nội dung bài viết
Sức khỏe răng miệng – tấm gương phản chiếu sức khỏe toàn thân ở người lớn tuổi
Càng lớn tuổi, cơ thể càng có nhiều thay đổi và khoang miệng cũng không ngoại lệ. Nướu dễ tụt, răng yếu đi, men răng mòn dần, nước bọt tiết ra ít hơn khiến khoang miệng khô, tạo điều kiện cho vi khuẩn phát triển. Vì vậy, chăm sóc răng miệng đúng cách không chỉ để ăn ngon, nói rõ mà còn giúp ngăn ngừa các bệnh lý toàn thân như tim mạch, tiểu đường, viêm khớp… vốn có liên hệ mật thiết với sức khỏe răng miệng.
Theo các chuyên gia, người cao tuổi có nguy cơ cao mắc sâu răng chân răng, viêm nha chu, mất răng hàng loạt, hoặc hôi miệng do khô miệng mạn tính. Việc chủ động chăm sóc răng miệng mỗi ngày chính là cách tốt nhất để duy trì nụ cười khỏe mạnh, tự tin và chất lượng sống
Những vấn đề răng miệng thường gặp ở người lớn tuổi
Người cao tuổi thường đối mặt với nhiều bệnh lý nha khoa đặc trưng, xuất phát từ sự thay đổi sinh lý tự nhiên hoặc do thói quen vệ sinh răng miệng chưa đúng cách trong thời gian dài. Dưới đây là những vấn đề phổ biến mà bác sĩ tại Nha khoa An Trí thường gặp ở nhóm khách hàng trung niên và cao tuổi:
Sâu răng chân răng – “kẻ thù thầm lặng” của nụ cười tuổi già
Khi tuổi tăng, nướu có xu hướng tụt dần, khiến phần chân răng lộ ra. Không giống như thân răng có lớp men cứng bảo vệ, phần chân răng chủ yếu là ngà răng mềm, rất dễ bị vi khuẩn tấn công gây sâu.
Tình trạng này thường tiến triển chậm, ít đau nhưng lại ăn mòn dần mô răng, dẫn đến ê buốt và tăng nguy cơ viêm tủy.
👉 Giải pháp: Chải răng nhẹ nhàng bằng bàn chải lông mềm, sử dụng kem đánh răng chứa fluor và tái khám định kỳ để phát hiện sớm tổn thương.
Viêm nướu – viêm nha chu: Nguyên nhân hàng đầu gây mất răng
Viêm nướu và viêm nha chu là bệnh lý nha khoa phổ biến nhất ở người cao tuổi. Sự tích tụ mảng bám lâu ngày khiến vi khuẩn phát triển, làm nướu sưng đỏ, chảy máu, thậm chí tụt nướu, lung lay răng.
Nếu không được điều trị kịp thời, viêm nha chu có thể phá hủy xương ổ răng, dẫn đến mất răng vĩnh viễn.
👉 Giải pháp: Cạo vôi – làm sạch mảng bám định kỳ 3–6 tháng/lần tại phòng khám chuyên khoa, kết hợp súc miệng kháng khuẩn hằng ngày để duy trì môi trường miệng lành mạnh.
Khô miệng (giảm tiết nước bọt) – tác động âm thầm nhưng nguy hiểm
Tuổi tác cùng với việc sử dụng thuốc điều trị các bệnh mãn tính (huyết áp, tim mạch, tiểu đường…) khiến tuyến nước bọt hoạt động kém hiệu quả.
Miệng khô làm giảm khả năng tự làm sạch răng, dẫn đến tăng nguy cơ sâu răng, viêm nướu và hôi miệng.
Ngoài ra, tình trạng này còn gây khó khăn trong việc ăn uống và nói chuyện, ảnh hưởng đáng kể đến chất lượng cuộc sống.
👉 Giải pháp: Uống đủ nước, nhai kẹo không đường kích thích tiết nước bọt và tránh dùng thuốc súc miệng có cồn. Khi khô miệng kéo dài, nên khám bác sĩ để được tư vấn chuyên biệt.
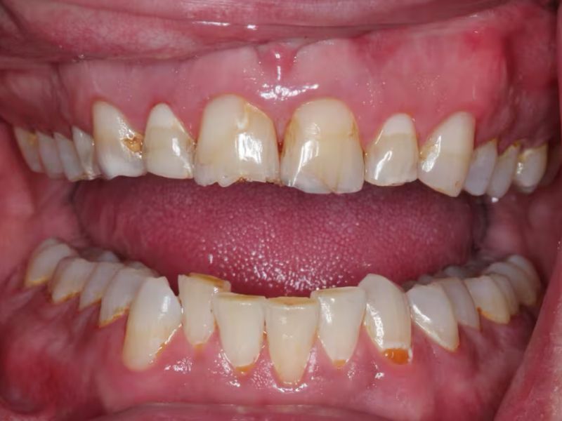
Mòn men răng – ê buốt khi ăn uống
Nhiều người lớn tuổi gặp tình trạng mòn men răng do chải răng sai cách hoặc có thói quen nghiến răng trong khi ngủ.
Lớp men răng bị bào mòn khiến răng trở nên nhạy cảm, dễ ê buốt, đặc biệt khi ăn đồ chua, nóng hoặc lạnh.
Nếu không khắc phục sớm, mòn men có thể dẫn đến nứt vỡ hoặc viêm tủy.
Mòn men răng ở người lớn tuổi
👉 Giải pháp: Sử dụng bàn chải lông mềm, chải răng nhẹ nhàng theo chiều dọc, tránh các loại kem đánh răng có độ mài mòn cao. Với trường hợp nghiến răng, bác sĩ có thể chỉ định làm máng chống nghiến để bảo vệ răng.
Mất răng và tiêu xương hàm – ảnh hưởng đến thẩm mỹ và sức khỏe
Mất răng không chỉ làm giảm khả năng ăn nhai, mà còn khiến xương hàm tiêu dần theo thời gian, dẫn đến hóp má, móm và lão hóa sớm.
Người lớn tuổi mất răng thường e ngại việc trồng răng do lo sợ đau hoặc không phù hợp. Tuy nhiên, với công nghệ Implant hiện đại và quy trình vô trùng chuẩn quốc tế tại Nha khoa An Trí, việc phục hồi răng đã trở nên nhẹ nhàng, an toàn và bền vững hơn bao giờ hết.
Lão hoá là nguyên nhân gây mất răng
👉 Giải pháp: Thăm khám, chụp phim CT 3D để bác sĩ đánh giá mật độ xương và chọn phương án trồng răng phù hợp: Implant đơn lẻ, Implant toàn hàm hoặc phục hình răng sứ thẩm mỹ.
Thay đổi cấu trúc xương và khớp cắn
Theo thời gian, sự tiêu xương tự nhiên và các bệnh lý nha chu khiến khớp cắn bị sai lệch, làm việc nhai trở nên khó khăn, đôi khi gây đau cơ hàm, mỏi thái dương.
👉 Giải pháp: Kiểm tra khớp cắn định kỳ, điều chỉnh hoặc làm máng nhai phù hợp giúp phân bổ lực cắn đều hơn và giảm mỏi cơ.
Hướng dẫn chăm sóc răng miệng đúng cách tại nhà cho người lớn tuổi
Chải răng đúng cách và chọn bàn chải phù hợp
- Dùng bàn chải lông mềm, đầu nhỏ, dễ len vào các vùng khó vệ sinh.
- Chải nhẹ tay, theo chiều xoay tròn hoặc từ nướu xuống răng để tránh làm tụt nướu.
- Dùng kem đánh răng chứa fluor nhẹ giúp tăng cường men răng.
- Thời gian chải: ít nhất 2 lần/ngày, sau ăn sáng và trước khi ngủ.
Nếu người cao tuổi gặp khó khăn trong việc cầm bàn chải, có thể chọn bàn chải điện để việc vệ sinh dễ dàng hơn.
Dùng chỉ nha khoa hoặc tăm nước mỗi ngày
Sau tuổi 50, khoảng cách giữa các răng thường lớn hơn, mảng bám dễ tích tụ.
Dùng chỉ nha khoa hoặc máy tăm nước giúp làm sạch kẽ răng mà bàn chải không tới được – đặc biệt quan trọng với người có cầu răng hoặc răng Implant.
Súc miệng đúng cách
- Dùng nước muối sinh lý hoặc dung dịch súc miệng chứa chlorhexidine (theo chỉ định của bác sĩ) để giảm vi khuẩn, hôi miệng.
- Không nên dùng nước súc miệng có cồn vì dễ gây khô miệng.
Dinh dưỡng giúp răng chắc khỏe
- Ăn nhiều rau xanh, trái cây, các thực phẩm chứa canxi, vitamin D và C giúp nướu và xương hàm khỏe mạnh.
- Hạn chế đường, nước ngọt, cà phê, rượu bia.
- Uống đủ nước để tránh khô miệng và giúp tuyến nước bọt hoạt động tốt.
Giữ thói quen kiểm tra răng định kỳ
Người lớn tuổi nên khám nha khoa 6 tháng/lần.
Việc kiểm tra định kỳ giúp phát hiện sớm sâu răng, viêm nướu, tiêu xương hoặc bệnh lý khác để can thiệp kịp thời – tránh mất răng đáng tiếc.
Cách chăm sóc khi có răng giả hoặc Implant
- Răng giả tháo lắp: cần tháo ra rửa sạch mỗi ngày bằng bàn chải mềm và nước ấm, không dùng nước nóng vì có thể làm biến dạng nhựa.
- Răng Implant: chải răng, dùng chỉ nha khoa và tăm nước như răng thật. Đặc biệt cần tái khám định kỳ để bác sĩ kiểm tra độ ổn định của trụ và mô nướu quanh răng.
- Tránh nhai đồ quá cứng, không dùng tăm tre vì dễ làm tổn thương nướu.
Lời khuyên dành cho người thân chăm sóc người lớn tuổi
Đối với người cao tuổi bị hạn chế vận động, người thân nên hỗ trợ trong việc:
- Chuẩn bị bàn chải mềm, kem đánh răng phù hợp.
- Giúp chải răng nhẹ nhàng hoặc nhắc nhở việc vệ sinh hằng ngày.
- Theo dõi các dấu hiệu bất thường: sưng, đau, hôi miệng, chảy máu nướu… để đưa đi khám kịp thời.
- Động viên, tạo thói quen khám nha khoa định kỳ, vì ngăn ngừa luôn tốt hơn điều trị.
Nha khoa An Trí – đồng hành chăm sóc nụ cười khỏe mạnh tuổi xế chiều
Tại Nha khoa An Trí, đội ngũ bác sĩ chuyên môn cao và giàu kinh nghiệm trong điều trị răng miệng cho người lớn tuổi luôn chú trọng yếu tố an toàn – nhẹ nhàng – cá nhân hóa.
Mọi quy trình điều trị được thiết kế dựa trên tình trạng xương, mô nướu và bệnh lý nền của từng người, đảm bảo hiệu quả tối ưu và hồi phục nhanh.
Cơ sở vật chất hiện đại, vô trùng đạt chuẩn quốc tế, cùng hệ thống thiết bị kỹ thuật số CAD/CAM, máy chụp CT Cone Beam 3D, máy cạo vôi siêu âm giúp việc chẩn đoán và điều trị diễn ra nhẹ nhàng, chính xác.
Răng miệng khỏe mạnh không chỉ giúp người lớn tuổi ăn ngon miệng, mà còn giữ gìn sức khỏe tim mạch, tiêu hóa và toàn thân. Việc chăm sóc đúng cách tại nhà, kết hợp khám định kỳ tại nha khoa uy tín như An Trí, chính là bí quyết để duy trì nụ cười tươi và cuộc sống chất lượng hơn mỗi ngày.
Nếu người thân của bạn đang gặp vấn đề về răng miệng, đừng ngần ngại đến Nha khoa An Trí để được bác sĩ thăm khám, tư vấn và hướng dẫn chăm sóc phù hợp nhất.
-
NHA KHOA UY TÍN TẠI HCM
-
305/20 Lê Văn Sỹ, P.1, Q.Tân Bình, HCM
-
Hotline: 0822 698 698
-
T2 - T7 09:00 - 18:30 / CN 09:00 - 12:00
-
Email: nhakhoaantri@gmail.com
-
Website: https://nhakhoaantri.com/



