Nguy hiểm khôn lường từ răng khôn mọc lệch - Nha Khoa An Trí
Răng khôn là chiếc răng mọc cuối cùng trên cung hàm, thường xuất hiện ở độ tuổi từ 17 – 25. Tuy nhiên, không phải lúc nào răng khôn cũng mọc thẳng, đúng vị trí. Hiện tượng răng khôn mọc lệch không chỉ gây khó chịu mà còn tiềm ẩn nhiều nguy hiểm khôn lường từ răng khôn mọc lệch nếu không được xử lý kịp thời. Nhổ răng khôn là phương pháp an toàn, nhưng điều quan trọng là lựa chọn đúng cơ sở nha khoa uy tín với công nghệ hiện đại để quá trình diễn ra nhổ răng khôn không đau, hạn chế tối đa biến chứng.

Nội dung bài viết
Tại sao răng khôn mọc lệch?
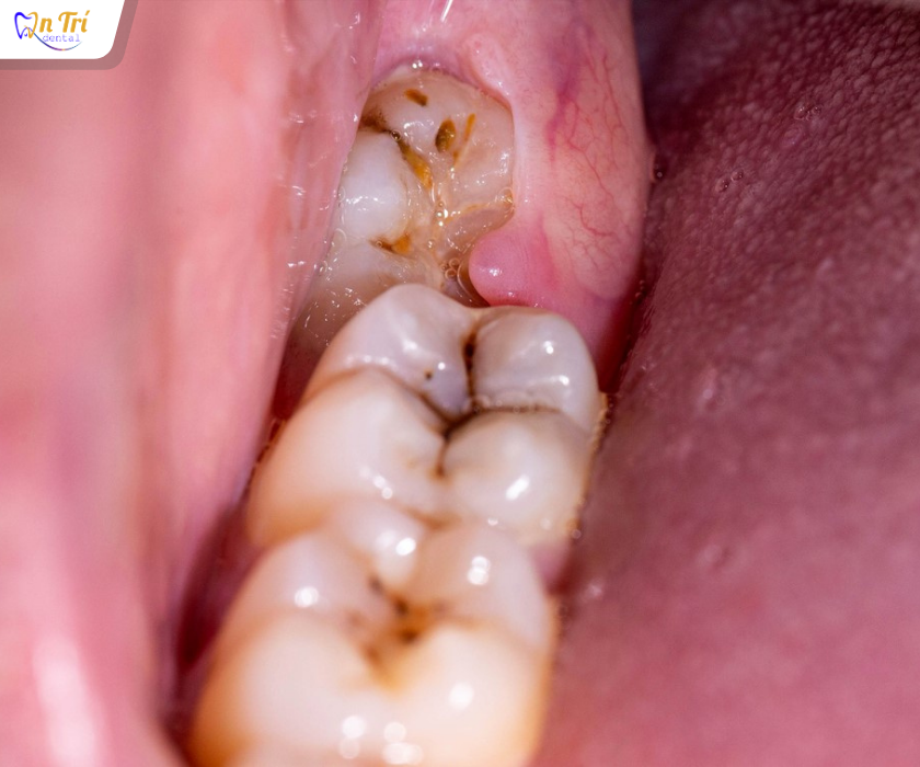
Răng khôn là chiếc răng cối lớn thứ ba, nằm sâu trong cùng của hàm răng. Khi hàm răng chỉ đủ chỗ cho 28 chiếc răng, sự xuất hiện thêm 4 răng khôn sẽ tạo áp lực lên các răng bên cạnh. Do đó, răng khôn thường phải “tìm đường” mọc ra bên ngoài, dẫn đến các dạng mọc lệch như:
- Mọc xiên sang răng số 7
- Mọc ngầm trong xương hàm
- Mọc nghiêng, đâm vào má hoặc răng kế cận
Hiện tượng này là nguyên nhân chính gây ra các vấn đề về răng miệng và sức khỏe toàn thân, từ đau nhức, sưng tấy đến những biến chứng nghiêm trọng như nhiễm trùng hoặc tổn thương dây thần kinh.
Nguy hiểm khôn lường từ răng khôn mọc lệch
1. Gây xô lệch hàm
Khi răng khôn mọc lệch, áp lực từ răng này sẽ đẩy răng số 7 và các răng khác, dẫn đến xô lệch cả hàm răng. Triệu chứng đầu tiên thường là cơn đau âm ỉ tại vị trí răng khôn mọc. Nếu không xử lý, răng khôn có thể làm tiêu hủy răng kế cận và ảnh hưởng đến cấu trúc toàn bộ hàm.
2. Viêm lợi và nhiễm trùng nướu
Răng khôn nằm sâu khiến việc vệ sinh khó khăn, tạo môi trường cho vi khuẩn tích tụ. Hậu quả là viêm lợi, sưng tấy, đau nhức, hôi miệng và đôi khi là nhiễm trùng lan rộng. Những biến chứng này có thể ảnh hưởng đến các khu vực xung quanh như má, tai hoặc nặng hơn là dây thần kinh, gây nguy hiểm đến tính mạng.
3. Gây u, nang xương hàm
Quá trình mọc răng khôn kéo dài hàng năm và thường xảy ra một phần nhỏ mỗi lần. Nếu không xử lý, răng dễ nhiễm trùng mãn tính, hình thành u nang ở phần xương hàm hoặc nang thân răng, gây tổn thương nghiêm trọng đến hàm và các răng kế cận.
U nang xương là biến chứng của răng khôn
4. Rối loạn cảm giác và phản xạ
Răng khôn mọc lệch có thể đâm vào dây thần kinh, gây tê môi, mất cảm giác ở niêm mạc miệng, ảnh hưởng đến khẩu vị và thậm chí là dẫn đến khó ăn uống, giảm chất lượng cuộc sống.
Khi nào nên nhổ răng khôn?
Nhổ răng khôn là cần thiết trong các trường hợp sau:
- Răng khôn mọc lệch hoặc mọc ngầm, đâm sang răng số 7
- Răng khôn gây đau nhức kéo dài
- Răng khôn bị viêm, sâu, nha chu
- Răng khôn dị dạng, nhỏ, gây nhồi nhét thức ăn với răng bên cạnh
- Răng khôn ảnh hưởng đến cấu trúc xương hàm mặt
- Nhổ răng khôn phục vụ chỉnh hình hoặc làm răng giả
Đối với người lớn tuổi hoặc bệnh nhân mắc các bệnh tim, tiểu đường, phổi, bác sĩ sẽ chỉ định xét nghiệm cần thiết trước khi nhổ để hạn chế biến chứng.
Quy trình nhổ răng khôn mọc lệch an toàn tại Nha khoa An Trí
Nhổ răng khôn mọc lệch là một tiểu phẫu phổ biến nhưng đòi hỏi kỹ thuật cao để đảm bảo an toàn, không đau và hạn chế biến chứng. Tại Nha khoa An Trí, quy trình nhổ răng khôn được thiết kế chuẩn Quốc tế, kết hợp công nghệ hiện đại và đội ngũ bác sĩ chuyên môn cao, giúp khách hàng yên tâm thực hiện mà không lo đau nhức hay chảy máu quá nhiều.
Bước 1: Thăm khám và chụp X-quang
Bác sĩ tiến hành kiểm tra tổng quát tình trạng răng miệng, xác định răng khôn mọc lệch, mức độ cản trở của răng với các răng lân cận. Đồng thời, khách hàng được chụp X-quang Panorex hoặc Cone Beam 3D để đánh giá vị trí, hướng mọc và tình trạng xương hàm. Dựa vào hình ảnh này, bác sĩ sẽ lập kế hoạch nhổ răng an toàn, hạn chế tối đa rủi ro.
Bước 2: Vệ sinh và sát khuẩn
Vệ sinh răng miệng kỹ lưỡng trước khi nhổ là bước quan trọng để ngăn ngừa nhiễm trùng. Toàn bộ khoang miệng được sát khuẩn cẩn thận, kết hợp sử dụng dụng cụ vô trùng tuyệt đối, tạo môi trường lý tưởng cho tiểu phẫu.
Bước 3: Gây tê an toàn
Khách hàng được gây tê tại chỗ bằng thuốc tê chất lượng cao, đảm bảo hoàn toàn không đau trong suốt quá trình nhổ. Việc gây tê chính xác và kiểm soát tốt sẽ giúp giảm căng thẳng, lo lắng, mang lại trải nghiệm nhổ răng nhẹ nhàng.
Bước 4: Nhổ răng khôn bằng công nghệ Piezotome
Điểm nổi bật tại Nha khoa An Trí là ứng dụng máy siêu âm Piezotome trong nhổ răng khôn mọc lệch. Công nghệ Piezotome sử dụng sóng siêu âm để tách răng một cách chính xác, hạn chế xâm lấn mô mềm, giảm chảy máu và sưng tấy sau phẫu thuật. Đây là phương pháp tiên tiến, giúp quá trình nhổ răng khôn trở nên nhẹ nhàng, an toàn và nhanh hồi phục hơn nhiều so với kỹ thuật truyền thống.
Bước 5: Hướng dẫn chăm sóc sau nhổ và hẹn tái khám
Sau khi nhổ răng, bác sĩ sẽ kê đơn thuốc giảm sưng, kháng viêm và hướng dẫn chăm sóc răng miệng chi tiết tại nhà. Đồng thời, khách hàng được hẹn tái khám để theo dõi quá trình hồi phục, đảm bảo răng và nướu phát triển bình thường, hạn chế tối đa các biến chứng.
Nhổ răng khôn – Nên thực hiện sớm để tránh biến chứng
Công nghệ piezotome nhổ răng khôn không đau
Nhổ răng khôn mọc lệch sớm sẽ giúp ngăn ngừa các vấn đề như đau nhức kéo dài, viêm nướu, sâu răng, hôi miệng hoặc ảnh hưởng tới răng kế cận. Việc lựa chọn cơ sở uy tín với công nghệ Piezotome hiện đại như Nha khoa An Trí sẽ đảm bảo quá trình nhổ răng an toàn, không đau và hiệu quả lâu dài.
Lời khuyên sau khi nhổ răng khôn mọc lệch của bác sĩ Trịnh Quang Trí – Giám đốc Nha khoa An Trí:
- Tránh nhai cứng, nóng hoặc đồ ăn quá cay trong tuần đầu sau nhổ.
- Súc miệng bằng nước muối ấm hoặc dung dịch sát khuẩn theo hướng dẫn bác sĩ.
- Không hút thuốc, uống rượu trong 3 – 5 ngày đầu.
- Tuân thủ lịch tái khám để bác sĩ kiểm tra tình trạng lành thương.
Việc chăm sóc đúng cách giúp duy trì hiệu quả nhổ răng khôn không đau và hạn chế nguy cơ biến chứng lâu dài.
Răng khôn mọc lệch là vấn đề phổ biến nhưng tiềm ẩn nhiều nguy hiểm khôn lường từ răng khôn mọc lệch. Nhổ răng khôn đúng cách là biện pháp hiệu quả, đảm bảo sức khỏe răng miệng và chất lượng cuộc sống. Nha khoa An Trí tự hào là địa chỉ nhổ răng khôn an toàn, không đau, với đội ngũ bác sĩ giàu kinh nghiệm và công nghệ hiện đại.
Nếu bạn đang gặp tình trạng răng khôn mọc lệch hoặc muốn được tư vấn về nhổ răng khôn không đau, hãy liên hệ ngay với Nha khoa An Trí để được thăm khám và tư vấn hoàn toàn miễn phí. Hotline: 0822 698 698
-
NHA KHOA UY TÍN TẠI HCM
-
305/20 Lê Văn Sỹ, P.1, Q.Tân Bình, HCM
-
Hotline: 0822 698 698
-
T2 - T7 09:00 - 18:30 / CN 09:00 - 12:00
-
Email: nhakhoaantri@gmail.com
-
Website: https://nhakhoaantri.com/



