Nguyên nhân làm răng sứ gây hôi miệng - Nha Khoa An Trí
Răng sứ bị hôi miệng là tình trạng nhiều người gặp sau khi bọc sứ. Bài viết này giúp bạn hiểu nguyên nhân – cách khắc phục – và bí quyết giữ hơi thở luôn thơm mát tại Nha khoa An Trí.

Bọc răng sứ là phương pháp phục hình và thẩm mỹ răng phổ biến hiện nay, giúp cải thiện màu sắc, hình dáng và độ bền chắc của răng. Tuy nhiên, sau một thời gian, một số người lại gặp tình trạng miệng có mùi hôi khó chịu, đặc biệt là khi nói chuyện hoặc sau khi ăn uống.
Điều này khiến nhiều người băn khoăn: “Tại sao bọc răng sứ lại gây hôi miệng?” – trong khi ban đầu mục tiêu là để có nụ cười đẹp và tự tin hơn.
Bài viết này sẽ cùng bạn tìm hiểu những nguyên nhân thật sự khiến răng sứ bị hôi miệng, đồng thời gợi ý cách phòng tránh và xử lý triệt để – được chia sẻ bởi chuyên gia Nha khoa An Trí.
Nội dung bài viết
Răng sứ có gây hôi miệng không?
Trước tiên, bạn cần hiểu rằng răng sứ bản thân không gây hôi miệng. Chất liệu sứ nha khoa đạt chuẩn (như Zirconia, Emax, Cercon…) có bề mặt trơn nhẵn, không thấm nước, không giữ mùi và hoàn toàn tương thích sinh học với cơ thể.
Tuy nhiên, nguyên nhân gây hôi miệng sau khi bọc răng sứ thường đến từ kỹ thuật thực hiện hoặc cách chăm sóc răng miệng chưa đúng.
Nếu quá trình bọc sứ có sai sót, hoặc người dùng không vệ sinh kỹ, vi khuẩn và mảng bám sẽ dễ dàng tích tụ quanh viền nướu – gây mùi hôi, viêm nướu và sâu răng ngầm bên trong.
Nguyên nhân khiến răng sứ bị hôi miệng
Răng sứ bị hở nướu, hở kẽ do kỹ thuật phục hình sai
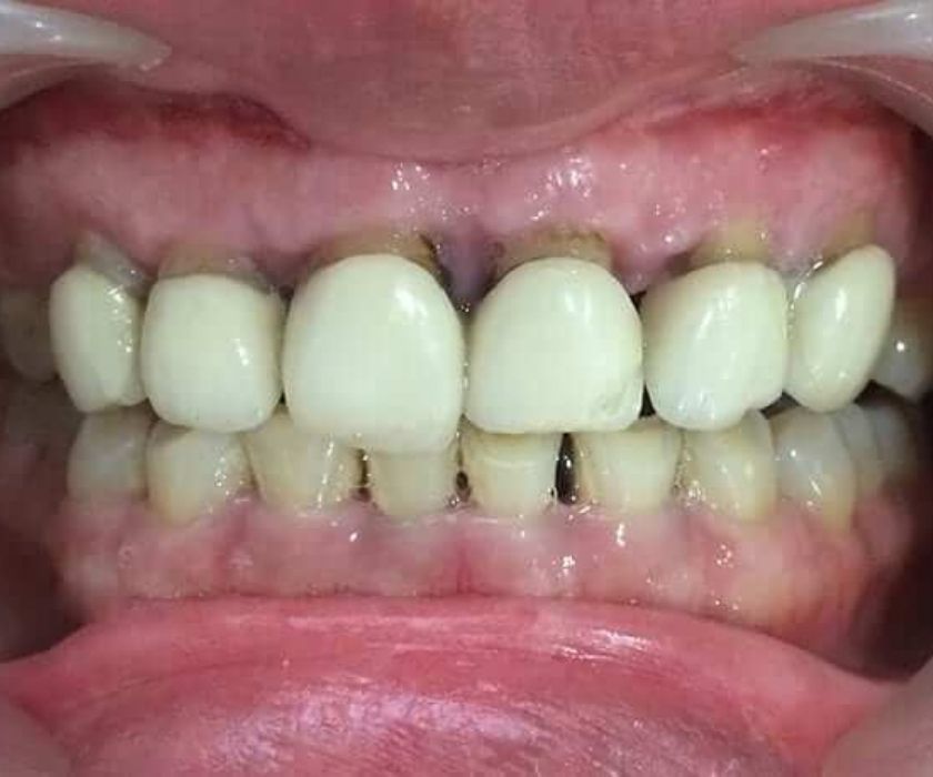
Đây là nguyên nhân phổ biến nhất. Khi bác sĩ mài răng không chuẩn hoặc dán mão sứ không khít sát với răng thật, sẽ tạo ra khe hở nhỏ giữa răng sứ và viền nướu. Thức ăn, nước bọt và vi khuẩn dễ dàng lọt vào bên trong, lâu dần gây ra mùi hôi khó chịu và viêm lợi viền răng.
Nếu để lâu, vùng nướu quanh răng sứ có thể bị thâm, sưng đỏ, thậm chí tụt nướu – vừa mất thẩm mỹ, vừa khiến vi khuẩn sinh sôi mạnh hơn.
Xi măng dán sứ tồn dư hoặc bong tróc
Trong quá trình gắn mão sứ, bác sĩ sẽ dùng xi măng nha khoa chuyên dụng để cố định răng. Nếu thao tác không chuẩn, xi măng dư còn sót lại ở cổ răng sẽ trở thành “ổ chứa vi khuẩn”. Ngược lại, nếu xi măng yếu hoặc bong tróc sớm, răng sứ không còn khít chặt, vi khuẩn cũng dễ len lỏi vào bên trong – gây mùi và sâu răng ngầm.
Viêm nướu quanh răng sứ
Răng sứ bị hôi miệng thường đi kèm biểu hiện nướu sưng, đỏ, dễ chảy máu khi chải răng. Đây là dấu hiệu của viêm nướu do vi khuẩn tích tụ lâu ngày. Đặc biệt, nếu trước khi bọc sứ, răng bạn đã có viêm nha chu hoặc viêm nướu mà chưa điều trị triệt để, thì sau khi bọc, tình trạng này dễ tái phát nặng hơn, gây mùi hôi rõ rệt.
Chăm sóc răng miệng chưa đúng cách
Nhiều người nghĩ răng sứ là “răng giả” nên ít chú trọng chăm sóc, chải răng qua loa hoặc không dùng chỉ nha khoa. Thực tế, bề mặt răng sứ tuy bóng nhưng viền nướu và kẽ răng vẫn là nơi lý tưởng cho vi khuẩn trú ngụ. Nếu không vệ sinh kỹ, mảng bám tích tụ lâu ngày sẽ lên men, gây mùi hôi, viêm nướu và viêm nha chu.
Chất lượng răng sứ kém hoặc trôi nổi
Trên thị trường hiện có nhiều loại răng sứ giá rẻ, không rõ nguồn gốc, thường làm từ hợp kim pha tạp, men sứ không đạt tiêu chuẩn y tế.
Sau thời gian sử dụng, chúng dễ bị oxy hóa, đổi màu, phát sinh mùi kim loại hoặc gây kích ứng nướu. Điều này không chỉ ảnh hưởng đến hơi thở mà còn khiến răng thật bị tổn thương, tụt nướu, tiêu xương hàm.
Có nhiều nguyên nhân gây nên tình trạng hôi miệng khi bọc sứ
Răng thật bên trong bị sâu hoặc viêm tủy
Trong một số trường hợp, răng thật được mài làm cùi sứ nhưng chưa điều trị tủy triệt để, hoặc sau khi bọc, răng bị xâm nhập vi khuẩn từ khe hở nhỏ. Khi đó, mô tủy bị hoại tử sẽ tạo ra mùi hôi khó chịu mà người bệnh không thể khử bằng cách đánh răng hay súc miệng. Đây là nguyên nhân tiềm ẩn nhưng rất thường gặp ở những ca bọc sứ giá rẻ, làm vội, không chụp phim kiểm tra kỹ.
Cách khắc phục tình trạng răng sứ bị hôi miệng
Đến nha khoa kiểm tra chuyên sâu
Nếu hơi thở có mùi sau khi bọc sứ, bạn nên đến nha khoa uy tín kiểm tra ngay. Bác sĩ sẽ chụp X-quang, kiểm tra độ khít của răng sứ, tình trạng nướu và tủy răng thật. Nếu răng sứ bị hở, cần tháo ra làm lại mão mới khít sát hơn; nếu viêm tủy, bác sĩ sẽ điều trị triệt để trước khi phục hình lại.
Làm sạch răng miệng đúng cách
- Đánh răng ít nhất 2 lần/ngày bằng bàn chải lông mềm.
- Dùng chỉ nha khoa hoặc tăm nước để loại bỏ thức ăn dính ở kẽ răng sứ.
- Súc miệng với dung dịch sát khuẩn nhẹ (chứa Chlorhexidine hoặc tinh dầu tự nhiên).
- Khám răng định kỳ 6 tháng/lần để lấy cao răng và kiểm tra độ khít của răng sứ.
Thay răng sứ mới khi đã xuống cấp
Nếu răng sứ đã sử dụng quá lâu (trên 8–10 năm) hoặc có dấu hiệu mùi hôi, viền thâm, hở cổ… thì nên thay mới. Hiện nay, các dòng sứ cao cấp như Zirconia, Emax Press, Lava Plus có độ khít tuyệt đối, tương thích sinh học tốt, giúp giảm thiểu tối đa nguy cơ hôi miệng và viêm nướu.
Điều trị triệt để bệnh lý răng miệng
Nếu bạn có viêm nha chu, sâu răng, viêm lợi hoặc khô miệng do thuốc – hãy điều trị dứt điểm trước khi phục hình răng sứ. Khi nền răng và mô nướu khỏe mạnh, răng sứ sẽ bền hơn và không gây mùi.
Cách phòng ngừa hôi miệng sau khi bọc răng sứ
Răng sứ có thể duy trì thẩm mỹ và hơi thở thơm mát nhiều năm nếu bạn chú ý các yếu tố sau:
- Chọn nha khoa uy tín, có bác sĩ phục hình chuyên sâu và trang thiết bị hiện đại.
- Chọn chất liệu sứ cao cấp, rõ nguồn gốc, được bảo hành chính hãng.
- Giữ thói quen chải răng, dùng chỉ nha khoa và súc miệng hằng ngày.
- Hạn chế hút thuốc, uống cà phê, rượu bia – vì dễ gây mùi và ố sứ.
- Tái khám định kỳ để bác sĩ đánh giá tình trạng răng sứ và nướu.
Tại sao nên kiểm tra răng sứ tại Nha khoa An Trí?
Nhiều khách hàng sau khi làm răng sứ ở nơi khác bị hôi miệng, ê buốt, viêm nướu… đã tìm đến Nha khoa An Trí để kiểm tra, khắc phục và phục hình lại.
Điểm khác biệt tại An Trí nằm ở chuyên môn – công nghệ – và sự tận tâm:
- Bác sĩ phục hình chuyên sâu: nhiều năm kinh nghiệm trong thiết kế nụ cười và xử lý răng sứ hỏng.
- Máy quét Scan 3D thế hệ mới: giúp đo chính xác khớp cắn và độ khít sát giữa mão sứ và răng thật.
- Phòng labo riêng biệt: chế tác răng sứ chuẩn xác đến từng micron, đảm bảo không hở kẽ – không gây mùi.
- Công nghệ dán sứ không viền nướu: hạn chế viêm, thâm nướu và mùi hôi.
- Chính sách bảo hành dài hạn, chăm sóc định kỳ miễn phí.
Chăm sóc răng sứ đúng cách sẽ không gây hôi miệng
Ngoài ra, khách hàng khi kiểm tra và thay răng sứ tại An Trí còn được:
- Miễn phí khám, chụp phim và tư vấn cùng bác sĩ.
- Ưu đãi đặc biệt lên đến 50% chi phí làm lại răng sứ Zirconia
- Bảo hành 10 năm cho các dòng sứ cao cấp.
“Răng sứ không xấu – chỉ có làm sai kỹ thuật mới gây hậu quả. Nếu bạn thấy hơi thở có mùi, viền nướu thâm hay răng sứ hở, đừng chủ quan. Càng để lâu, vi khuẩn càng xâm nhập sâu vào răng thật, gây viêm tủy và tiêu xương hàm. Hãy đến kiểm tra sớm để xử lý tận gốc, giữ nụ cười bền đẹp và hơi thở tự tin.” — BS. Trịnh Quang Trí, Giám đốc chuyên môn Nha khoa An Trí.
Răng sứ bị hôi miệng không phải là tình trạng hiếm gặp, nhưng hoàn toàn có thể khắc phục triệt để nếu được kiểm tra và điều trị đúng cách. Đừng để hơi thở kém thơm khiến bạn mất tự tin khi giao tiếp – vì chỉ cần lựa chọn đúng nha khoa, mọi vấn đề sẽ được giải quyết nhẹ nhàng và an toàn.
Nếu bạn đang gặp tình trạng răng sứ có mùi hôi, viêm nướu, hoặc muốn làm lại răng sứ chuẩn đẹp – bền – không mùi, hãy để Nha khoa An Trí giúp bạn lấy lại nụ cười tự tin!
-
NHA KHOA UY TÍN TẠI HCM
-
305/20 Lê Văn Sỹ, P.1, Q.Tân Bình, HCM
-
Hotline: 0822 698 698
-
T2 - T7 09:00 - 18:30 / CN 09:00 - 12:00
-
Email: nhakhoaantri@gmail.com
-
Website: https://nhakhoaantri.com/



