So sánh răng sứ và trám răng: Nên chọn giải pháp nào?
Trong lĩnh vực phục hình nha khoa, răng sứ và trám răng là hai giải pháp được áp dụng phổ biến nhất. Cả hai đều nhằm khôi phục lại hình dạng, chức năng ăn nhai và thẩm mỹ cho răng hư tổn. Tuy nhiên, tùy vào tình trạng răng, nhu cầu thẩm mỹ và điều kiện tài chính mà mỗi phương pháp sẽ phù hợp hơn. Bài viết này sẽ phân tích chi tiết sự khác biệt giữa răng sứ và trám răng để bạn có cái nhìn rõ ràng, từ đó đưa ra lựa chọn đúng đắn.

Nội dung bài viết
Trám răng là gì?
Trám răng là kỹ thuật sử dụng vật liệu nhân tạo (thường là composite) để lấp đầy những khoảng hở hoặc phần răng bị mất mô do sâu, sứt mẻ hoặc mòn men. Kỹ thuật này thường được chỉ định khi răng hư tổn ở mức độ nhẹ đến trung bình.
Điểm nổi bật của trám răng là nhanh, chi phí thấp, bảo tồn mô răng thật tối đa. Trám răng composite còn có màu sắc tương đồng với răng tự nhiên, nên khá thẩm mỹ trong vùng răng cửa.
Bọc răng sứ là gì?
Bọc răng sứ là phương pháp phục hình răng toàn diện hơn. Bác sĩ sẽ mài nhỏ răng thật (giữ lại phần trụ răng khỏe) và chụp lên đó một mão sứ thiết kế riêng. Mão sứ bao phủ toàn bộ thân răng, giúp khôi phục cả chức năng và thẩm mỹ.
Kỹ thuật này thường được chỉ định khi răng hư tổn nặng: sâu lớn, mất nhiều mô răng, răng nứt gãy, hoặc răng đã lấy tủy. Ngoài ra, bọc sứ còn được dùng trong thẩm mỹ nha khoa để chỉnh răng xấu, răng lệch màu, răng thưa.
Khi nào nên trám răng và khi nào cần bọc răng sứ?
Trám răng: Phù hợp khi tổn thương nhẹ
Thông thường, trám răng (hàn răng) là cách xử lý hiệu quả khi răng bị sâu nhẹ, men răng hoặc ngà chỉ mất một phần nhỏ. Composite hoặc GIC thường là vật liệu được lựa chọn để hàn lại thân răng và khít kẽ răng. Răng trám giữ gìn răng thật tối đa và thường áp dụng khi:
- Lỗ sâu nhỏ, chưa lan rộng.
- Răng chỉ bị vỡ nhẹ, không ảnh hưởng đến tủy.
Ví dụ, răng sâu nhỏ phần rìa hoặc sâu men răng mặt nhai.
Bọc răng sứ: Khi răng hư hại nặng, không thể trám
Nếu răng sâu quá lớn, cấu trúc răng mất nhiều hoặc đã lấy tủy, thì trám không đảm bảo độ bền. Đây là lúc nên chọn bọc răng sứ để bảo vệ răng khỏi gãy vỡ, đảm bảo ăn nhai và thẩm mỹ.
Răng sâu lớn, vỡ mẻ rộng, men răng bị phá hỏng nhiều hoặc răng yếu sau lấy tủy thường được chỉ định bọc răng sứ.
Ưu điểm và hạn chế của trám răng
Ưu điểm của trám răng
Trám răng là phương pháp phục hình đơn giản, quen thuộc và phù hợp cho những trường hợp răng sâu, mẻ hoặc sứt nhỏ. Ưu điểm lớn nhất của trám răng là chi phí thấp, chỉ dao động khoảng 300.000 – 800.000 VNĐ/răng, phù hợp với nhiều đối tượng.
Quy trình trám răng diễn ra nhanh chóng, thường chỉ mất 15–30 phút/răng, bệnh nhân gần như không cảm thấy đau hay khó chịu. Một điểm cộng khác là phương pháp này bảo tồn tối đa mô răng thật, bởi nha sĩ chỉ cần loại bỏ phần sâu và đặt vật liệu trám lên vị trí khuyết hổng, không can thiệp nhiều đến cấu trúc răng.
Ngày nay, nhờ sự phát triển của vật liệu nha khoa, trám răng bằng composite được đánh giá cao về mặt thẩm mỹ. Chất liệu này có màu sắc tương đồng với men răng tự nhiên, giúp phục hồi răng gần như “không dấu vết”, đảm bảo hài hòa nụ cười.
Trám răng sâu
Hạn chế của trám răng
Mặc dù có nhiều ưu điểm, trám răng cũng tồn tại một số hạn chế khiến phương pháp này không phải lúc nào cũng phù hợp. Đầu tiên, độ bền không cao, thường chỉ duy trì từ 2–5 năm, ngắn hơn nhiều so với các phương pháp phục hình khác.
Trám răng cũng dễ bong, nứt hoặc đổi màu theo thời gian, đặc biệt với những người thường xuyên ăn uống đồ cứng, nóng lạnh thất thường hoặc dùng nhiều thực phẩm nhuộm màu như cà phê, trà, rượu vang.
Đáng chú ý hơn, trám răng không phù hợp với những răng hư tổn lớn hoặc đã lấy tủy, vì vật liệu trám sẽ không đủ độ bền để chịu lực ăn nhai. Trong các trường hợp này, răng dễ gãy vỡ và tổn thương nặng hơn nếu chỉ trám thông thường.
Ưu điểm và hạn chế của bọc răng sứ
Ưu điểm của bọc răng sứ
Bọc răng sứ là giải pháp phục hình được ưa chuộng tại các nha khoa hiện đại nhờ độ bền vượt trội. Một chiếc răng sứ có thể duy trì tuổi thọ 10–20 năm, thậm chí lâu hơn nếu sử dụng dòng sứ cao cấp như răng sứ Zirconia và được chăm sóc tốt.
Khác với trám răng chỉ phục hồi phần khuyết, bọc sứ tái tạo toàn diện cả hình thể và chức năng ăn nhai. Chiếc răng sau khi bọc sứ không chỉ chắc chắn mà còn đều đẹp, trắng sáng tự nhiên, mang lại nụ cười thẩm mỹ lâu dài.
Một ưu điểm khác là răng sứ có khả năng bảo vệ mô răng thật còn lại, giống như một “lá chắn” bao bọc bên ngoài, giúp hạn chế tình trạng răng nứt, vỡ, đặc biệt với răng đã lấy tủy hoặc răng tổn thương nặng.
Về mặt thẩm mỹ, răng sứ – đặc biệt là Zirconia – mang lại hiệu quả tự nhiên như răng thật. Màu trắng trong, không bị ánh đen viền nướu như răng sứ kim loại, đồng thời an toàn sinh học, không gây kích ứng nướu hay hôi miệng.
Hạn chế của bọc răng sứ
Điểm hạn chế lớn nhất của bọc răng sứ là chi phí cao, dao động từ 1,5 – 12 triệu VNĐ/răng tùy chất liệu. So với trám răng, đây là khoản đầu tư đáng kể, đặc biệt nếu cần phục hình nhiều răng.
Ngoài ra, bọc sứ cần mài một phần răng thật để làm trụ, do đó kỹ thuật này đòi hỏi bác sĩ có chuyên môn cao và máy móc hiện đại để đảm bảo an toàn, không xâm lấn quá mức. Nếu mài răng không đúng kỹ thuật, bệnh nhân có thể gặp tình trạng ê buốt hoặc viêm nướu.
Tuy nhiên, với sự hỗ trợ của công nghệ thiết kế răng sứ CAD/CAM và bác sĩ giỏi, những hạn chế này hoàn toàn có thể được khắc phục, mang lại kết quả bền đẹp và an toàn cho khách hàng.
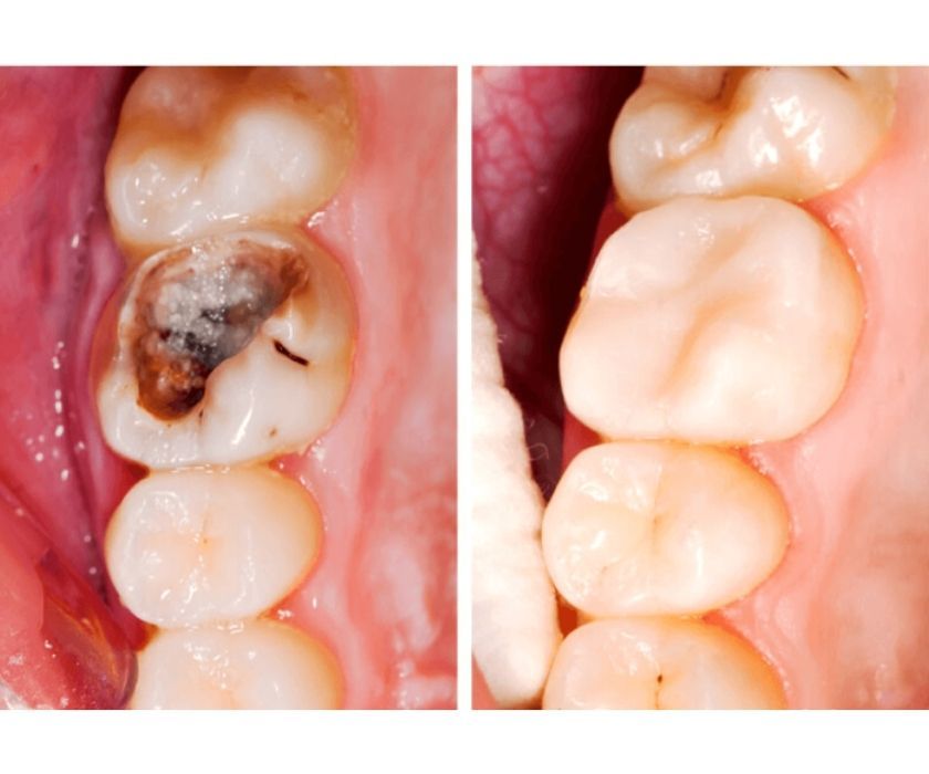
Răng sứ zirconia thẩm mỹ vượt trội cho răng sâu nặng
Bảng so sánh răng sứ và trám răng
| Tiêu chí | Trám răng (Composite) | Bọc răng sứ |
| Mức độ áp dụng | Răng sâu nhỏ, sứt mẻ nhẹ | Răng sâu lớn, vỡ nhiều, sau lấy tủy |
| Thời gian thực hiện | 15–30 phút/răng | 2–3 lần hẹn (2–5 ngày) |
| Độ bền | 2–5 năm | 10–20 năm hoặc hơn |
| Thẩm mỹ | Khá tốt, dễ đổi màu | Cao, giữ màu lâu dài |
| Chi phí | Thấp (300k–800k/răng) | Cao (1,5–12 triệu/răng) |
Nên chọn răng sứ hay trám răng?
Việc lựa chọn trám răng hay bọc sứ phụ thuộc rất nhiều vào tình trạng thực tế của răng. Nếu răng chỉ sâu nhẹ, lỗ sâu nhỏ hoặc bị sứt mẻ ít, trám răng là giải pháp đơn giản, ít tốn kém và bảo tồn răng thật tối đa. Ngược lại, nếu răng đã hư hại lớn, bị mất nhiều mô răng, đã lấy tủy hoặc cần phục hình thẩm mỹ lâu dài, thì bọc răng sứ sẽ là phương án an toàn và hiệu quả hơn.
Điều quan trọng nhất là bạn không nên tự quyết định mà nên đến nha khoa uy tín để được bác sĩ thăm khám lâm sàng, chụp X-quang (nếu cần) và đưa ra chỉ định chính xác. Việc lựa chọn đúng phương pháp ngay từ đầu sẽ giúp răng được bảo tồn tối đa, giảm nguy cơ tái phát bệnh lý và đảm bảo hiệu quả lâu dài.
Răng sứ Zirconia – lựa chọn tối ưu khi bọc sứ
Trong số các dòng răng sứ hiện nay, Zirconia luôn được đánh giá là “vua” của các loại răng toàn sứ. Đây là vật liệu sứ nguyên khối, có độ bền chắc vượt trội, khả năng chịu lực gấp nhiều lần răng thật, giúp bệnh nhân ăn nhai thoải mái kể cả với các món cứng, dai. Về thẩm mỹ, Zirconia có màu trắng sáng, độ trong tự nhiên, không bị ánh xám như răng sứ kim loại. Đặc biệt, răng sứ Zirconia hoàn toàn không gây đen viền nướu, không bị đổi màu theo thời gian và tương thích sinh học cao, lành tính với cơ thể.
Đối với những trường hợp răng sâu nặng, răng vỡ mẻ lớn hoặc đã điều trị tủy, Zirconia là giải pháp vừa khôi phục chức năng ăn nhai ổn định trong nhiều năm, vừa duy trì nụ cười đẹp tự nhiên. Đây cũng là loại răng sứ được các nha khoa cao cấp khuyên dùng nhiều nhất hiện nay nhờ tính toàn diện cả về độ bền, thẩm mỹ lẫn độ an toàn.
Trám răng và bọc răng sứ đều có vai trò quan trọng trong phục hình nha khoa. Trám phù hợp với những trường hợp tổn thương nhẹ, chi phí thấp, thời gian nhanh. Trong khi đó, bọc răng sứ là giải pháp toàn diện hơn, giúp khôi phục răng hư hại nặng và duy trì kết quả lâu dài, đặc biệt với các dòng sứ cao cấp như Zirconia.
Việc lựa chọn giải pháp nào cần dựa trên tình trạng răng cụ thể và tư vấn từ bác sĩ chuyên môn. Một quyết định đúng đắn sẽ giúp bạn vừa bảo vệ sức khỏe răng miệng, vừa sở hữu nụ cười tự tin trong nhiều năm. Liên hệ với Nha khoa An Trí qua Hotline 0822 698 698 để được tư vấn giải pháp cá nhân hóa phù hợp nhất.
-
NHA KHOA UY TÍN TẠI HCM
-
305/20 Lê Văn Sỹ, P.1, Q.Tân Bình, HCM
-
Hotline: 0822 698 698
-
T2 - T7 09:00 - 18:30 / CN 09:00 - 12:00
-
Email: nhakhoaantri@gmail.com
-
Website: https://nhakhoaantri.com/



